Underbite Before and After

Before

After
Correcting an underbite improves jaw function and chewing efficiency while preventing abnormal tooth wear and potential jaw joint problems that can develop from the misaligned bite. Treatment also enhances facial aesthetics by balancing the profile and can improve speech clarity, while early intervention in children can guide proper jaw growth and prevent more severe skeletal discrepancies from developing. Correcting an underbite could be done with braces or invisalign. Severe cases may require a jaw surgery.
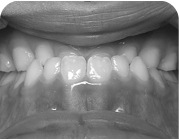
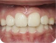
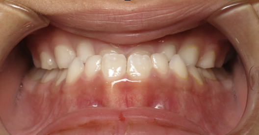
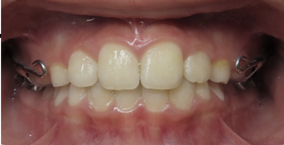
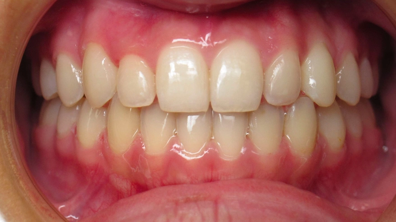
adult invisalign
Corrected with without surgery using invisalign
Before
After
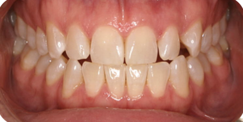
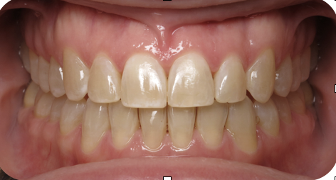
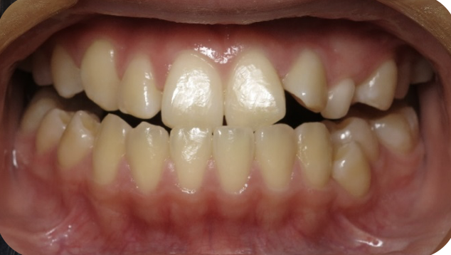
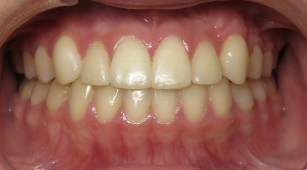
adult invisalign
Before
After
underbite corrected by expansion
Before
After
adult invisalign
Before
After
Underbite corrected with Braces
Before
After
What is an underbite?
An underbite is a dental condition where the lower jaw extends forward, causing the bottom teeth to protrude in front of the upper teeth when the mouth is closed. This misalignment can range from mild to severe and may cause problems with chewing, speaking, jaw pain, and increased wear on the teeth. Underbites can be caused by genetics, childhood habits like thumb sucking or prolonged pacifier use, jaw injuries, or disproportionate jaw growth during development.
How its treated
Early evaluation and treatment is critical for developing malocclusions like underbites. The American Association of Orthodontists recommends age 7 as the ideal time to begin treatment, though these cases should ideally be first evaluated at age 5 to determine if the child is ready for early intervention. Treatment typically involves growth modification appliances such as jaw expanders, reverse-pull headgear, or functional appliances that guide jaw growth while the bones are still developing and malleable. Early intervention is crucial because it takes advantage of natural growth patterns to correct the jaw relationship more easily and prevents the underbite from worsening as the child grows, potentially avoiding the need for surgical correction later in life.
Adult underbite treatment is more complex, with the severity determining the appropriate treatment approach. Milder cases can often be treated with Invisalign, while moderate cases may require traditional braces, with the type of braces being important as it can significantly impact the treatment outcome. For severe or significantly asymmetric cases where the jaw is crooked, treatment often requires a combination of orthodontics and orthognathic (jaw) surgery to reposition the jaws, since the bones have finished growing and can no longer be guided with appliances alone. Some cases may benefit from using TADs (Temporary Anchorage Devices), which are small pins strategically placed to produce surgical-like results without actual surgery. We will review which options are best suited for your specific situation.




















