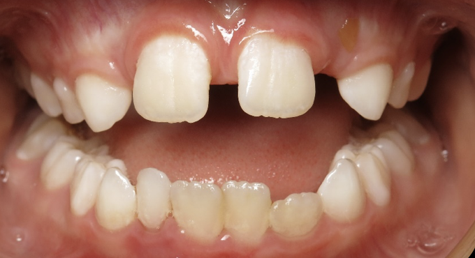
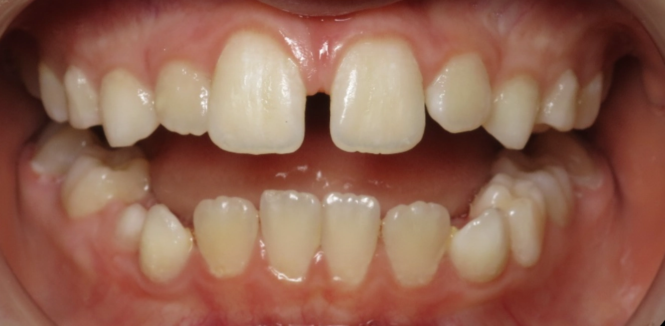
Spaces Between Teeth Before and After

Before

After
At Buena Vista Orthodontics, we understand the importance of correcting your open bite. Treatment improves chewing function and speech clarity by allowing the front teeth to properly contact and cut food, while also preventing excessive wear on the back teeth. Treatment can also enhance facial esthetics by reducing the elongated facial appearance and minimizing gummy smiles. Our goal is always to provide a more beautiful display of your front teeth.
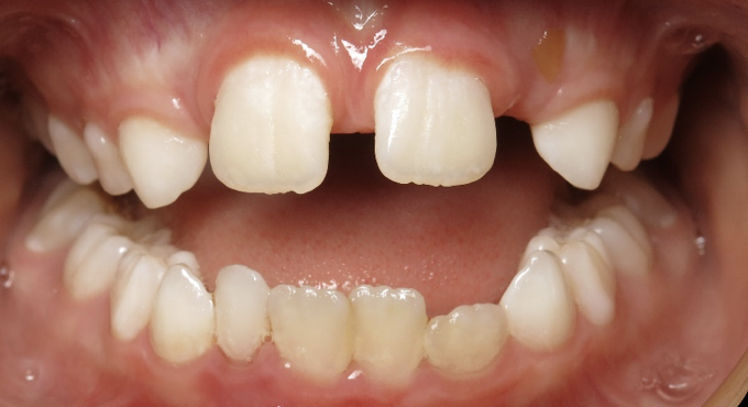
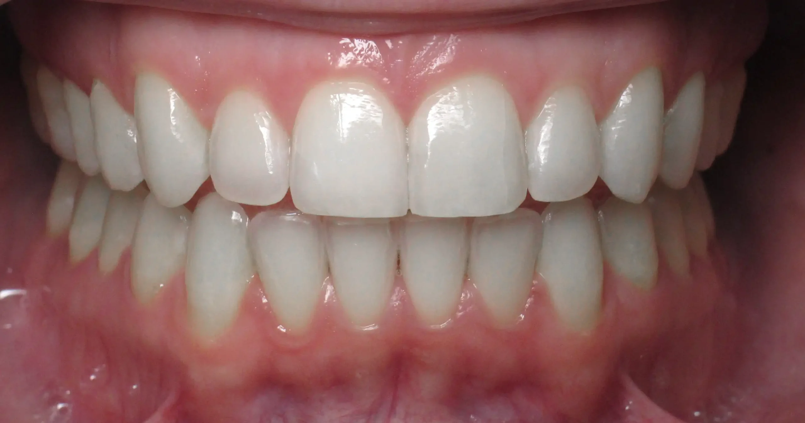
Early Treatment with expansion, Spaces were closed with Invisalign
Before
After
Before
After
What causes spacing between teeth?
Spaces between teeth (diastemas) can be caused by several factors: size discrepancies where teeth are too small for the jaw or the jaw is too large for the teeth, missing teeth that leave gaps allowing adjacent teeth to drift apart, and oral habits like thumb sucking or tongue thrusting that push teeth apart. Gum disease can cause teeth to shift and create spaces as supporting bone is lost, while prominent frenum (the tissue connecting lip to gum) can prevent front teeth from coming together, and genetics naturally predispose some people to spaced teeth. Additionally, normal growth and development can create temporary spaces in children, and certain tongue positions or swallowing patterns can maintain or create spacing over time.
How its treated
Spaces between teeth are most commonly closed using orthodontic treatment with braces or clear aligners that gradually move teeth together through controlled force application. Dental bonding or veneers can close small gaps by adding tooth-colored material to make teeth appear larger and eliminate spaces, while crowns may be used for larger restorations. For single missing teeth causing spaces, dental implants, bridges, or partial dentures can fill the gap, and sometimes surgical procedures like frenectomy (removing excess tissue) are needed before orthodontic closure of front tooth gaps.








