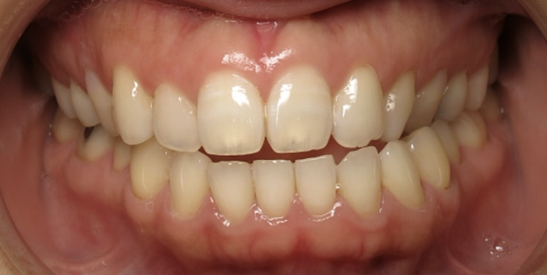
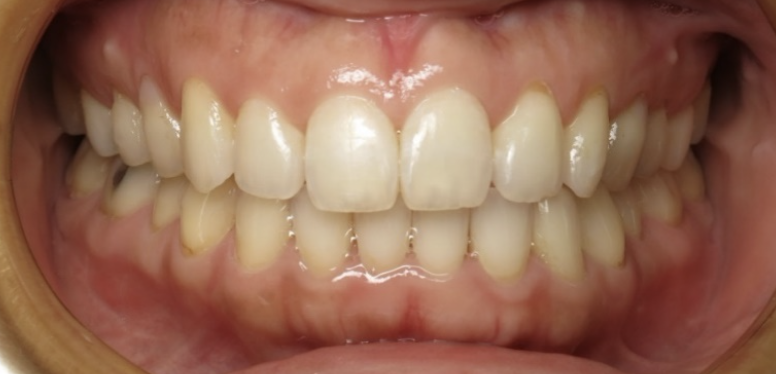
Crossbite Before and After

Before

After
A crossbite should be corrected orthodontically because it can cause asymmetric jaw growth and facial development, particularly in children, while also creating abnormal wear patterns on teeth and making them harder to clean properly.
The misalignment places uneven forces on teeth and supporting structures, potentially leading to tooth damage, bone loss, jaw muscle strain, and associated headaches or discomfort. Early treatment prevents these complications from worsening and can improve chewing function, speech clarity, and facial aesthetics.
Corrected with without surgery using invisalign
Before
After
Corrected with invisalign
Before
After
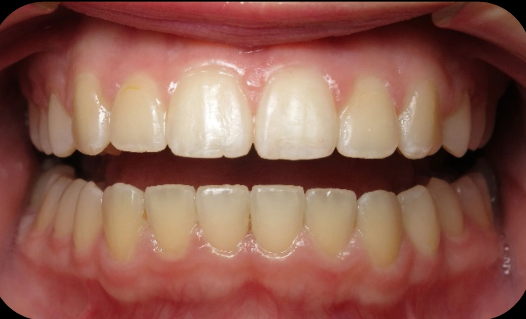
Patient treated with EXPANSION and braces
Before
After
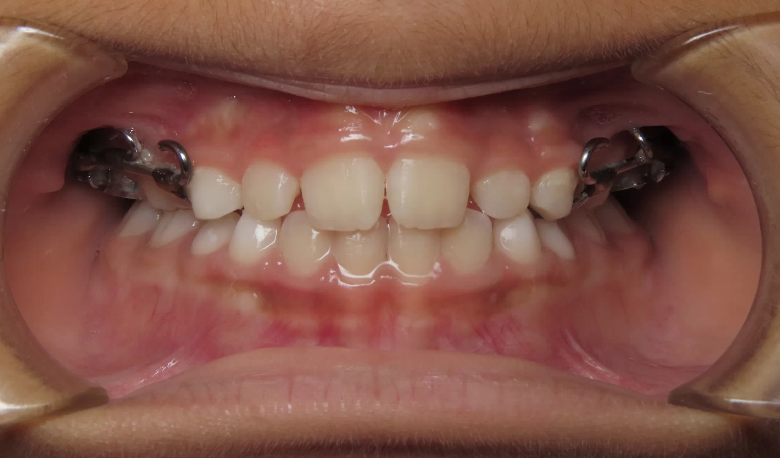
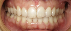
Patient treated with braces
Before
After
Patient treated with braces
Before
After
What is a Crossbite?
What is a crossbite? A crossbite is a misalignment where your upper and lower teeth don’t line up properly when you bite down – either your upper teeth sit inside your lower teeth, or your lower teeth sit outside your upper teeth, when the opposite should be true. This condition can affect individual teeth in the front (anterior crossbite) or back (posterior crossbite) of your mouth, or entire sections on one or both sides, often causing your jaw to shift to compensate for the poor fit. Left untreated, crossbites can lead to uneven tooth wear, gum recession, facial asymmetry, jaw pain, and TMJ problems due to the constant strain of your bite trying to find a comfortable position.
How it’s treated
How is a crossbite fixed? Crossbite correction depends on the severity and type, with treatment options ranging from palatal expanders that widen a narrow upper jaw to create proper overlap, to braces or clear aligners that gradually move individual teeth into their correct positions. For growing children, treatment is often simpler and faster, using appliances like expanders or partial braces to guide jaw development, while adults may require a combination of orthodontic treatment and sometimes elastic bands to shift the bite into proper alignment. In severe skeletal crossbites where the jaw bones themselves are misaligned, orthodontic treatment may be combined with oral surgery to reposition the jaws, though most crossbites can be successfully corrected with orthodontic treatment alone, typically taking 6-18 months depending on complexity.






















