Invisalign in
Burbank, CA
About Invisalign
At Buena Vista Orthodontics in Burbank, we specialize in Invisalign treatment. As a top Platinum level provider, we leverage our extensive expertise to deliver outstanding care and achieve exceptional results for our patients. .We make beautiful results from the simplest to most complex types of orthodontic problems.
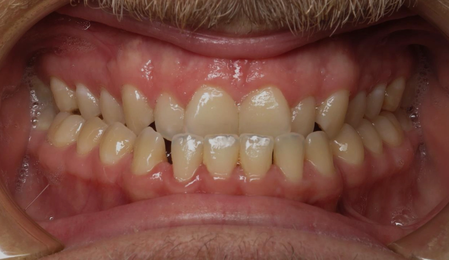
Before
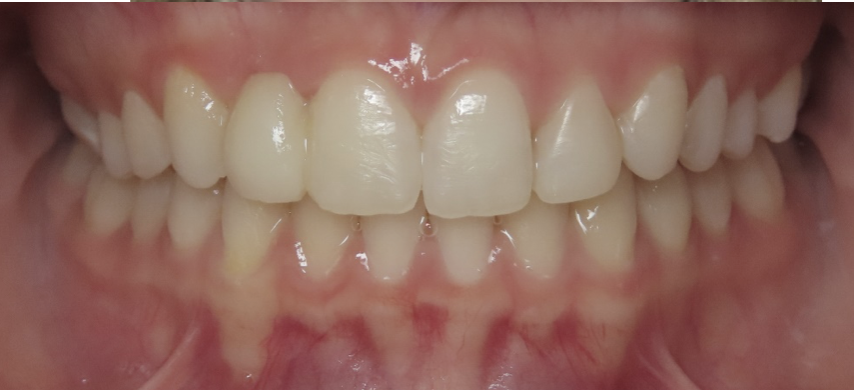
After
Crossbite/Underbite corrected without surgery using invisalign
What Is Invisalign?
Invisalign represents an innovative approach to teeth straightening using transparent, customized plastic (containing no PVCs!) aligners that gradually move your teeth into proper alignment for a stunning smile. These nearly invisible aligners can be easily removed and are crafted using advanced 3D imaging technology to ensure an ideal, comfortable fit.
The initial aligner set closely matches your teeth’s current positioning, while the final set will achieve your perfectly aligned smile. Each aligner set should be worn 20-22 hours daily, with progression to the next set every 1-2 weeks based on your particular case. As you advance through each aligner in the series, your teeth will shift gradually—step by step, week by week—until reaching their ideal positions. For the best outcomes, remove your aligners only for eating, drinking, and oral care. Remember to gently clean your aligners each time you brush to maintain superior oral health and prevent buildup.
The advantages of Invisalign aligners include:
- Reduced Appointments – Since you’ll change aligners at home, office visits are needed only every few weeks for brief progress evaluations.
- Effortless Oral Care – The removable design allows you to maintain your regular eating, drinking, brushing, and flossing routine. Simply brush after meals before reinserting your aligners!
- Nearly Invisible – Many patients choose Invisalign specifically for its discreteness—it’s virtually undetectable! You can maintain confidence in your appearance throughout treatment.
- Proven Results – Invisalign successfully addresses various orthodontic concerns while often delivering remarkable outcomes in less time than traditional methods! During your initial visit, we can estimate your treatment duration and show you a preview of your future smile.
Before
After
Top Invisalign Provider!
Invisalign practitioners receive designations based on their experience and patient treatment volume. Our Platinum Provider status places us in the elite top certified Invisalign practitioners nationwide. This prestigious ranking reflects our EXPERIENCE, exceptional expertise and successful treatment of thousands of patients with Invisalign. from mild to extermely difficult cases. Buena Vista Orthodontics is among the select few practices in the area to achieve this distinguished level of recognition, demonstrating our commitment to excellence in clear aligner therapy.
What Sets Us Apart
- Over 30 years of experience and 10,000+ smiles treated
- Advanced technology for precise, faster results
- Clear, esthetic metal braces options (including soft silver and champagne colored braces), Pitts and Damon braces.
- Platinum Provider of Invisalign®
- Welcoming, Comfortable, modern office environment with state of the art sterilization procedures
- Compassionate care and tailored treatment plans
Testimonial
"Dr. Yamada transformed my smile and boosted my confidence! Her team was so supportive throughout my treatment."
- Sarah K
"Professional, friendly, and efficient. I couldn't have asked for a better orthodontic experience."
- Michael T.
"State-of-the-art technology and personalized care. My teeth look amazing!"








