See Our Early Treatment Results

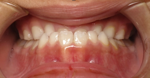
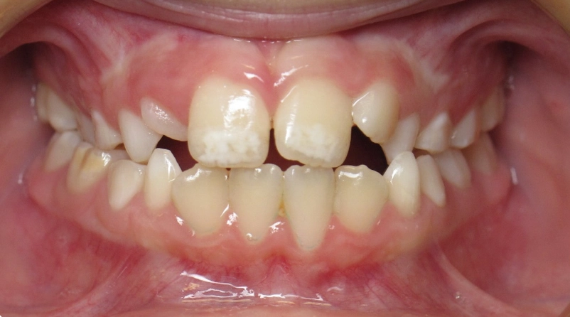
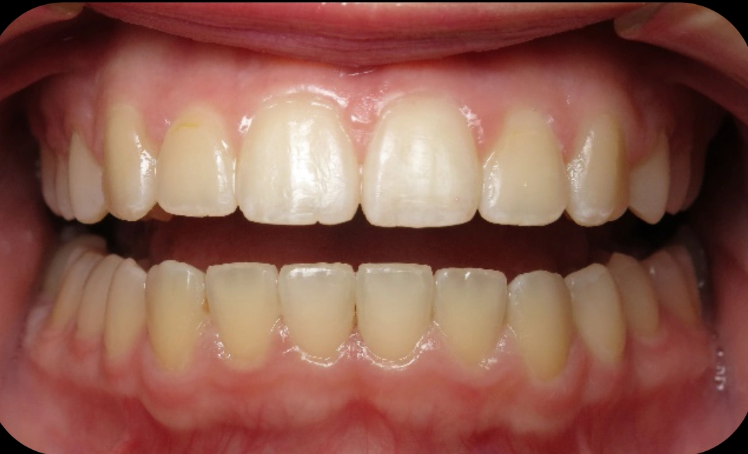
Before

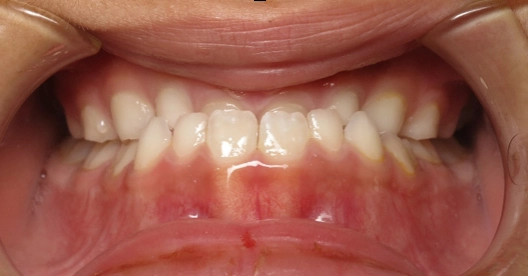
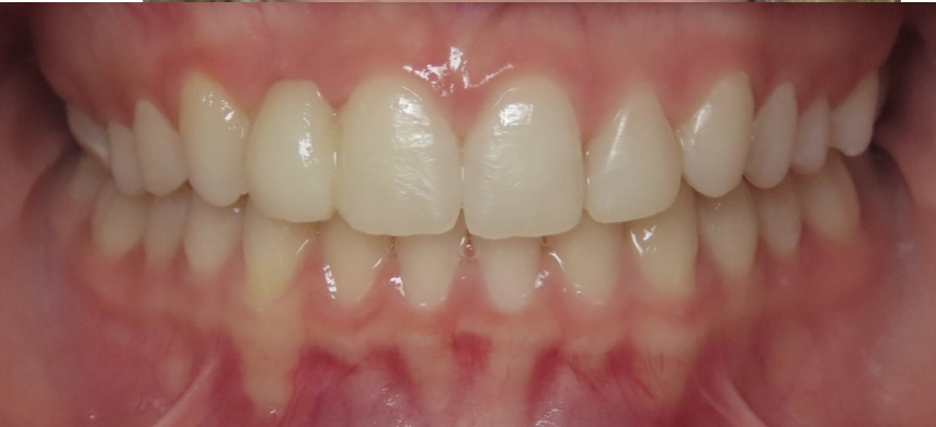
After
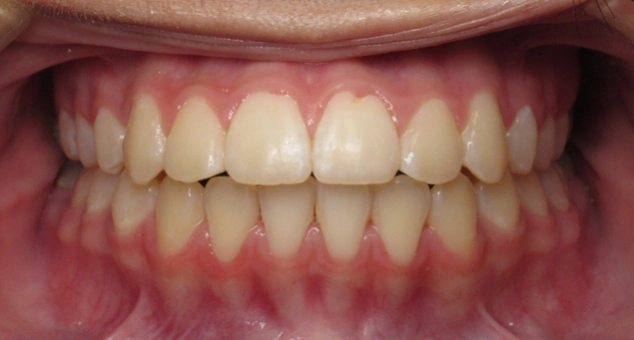
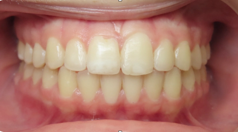
Results 1 year later
The American Association of Orthodontists recommends children receive their first orthodontic evaluation by age 7. It is often difficult for parents to assess developing orthodontic problems, yet it is always better to catch problems before they develop into bigger ones. Early treatment can guide proper jaw development, create space for incoming teeth, address harmful habits and could improve breathing. Since sleep breathing disorders can affect growth and brain development, proactive evaluation is very important. Early treatment can eliminate the need for tooth extractions and more extensive treatment including surgeries. Early evaluation could help parents and children breathe easier at night!
But this is not the end… this patient and most children will need another phase of treatment.
Early treatment is essential to set the foundation for succesful future results
Before
After
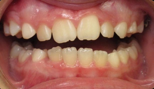
Before
After
Before
After
Before
After
Before
After
Before
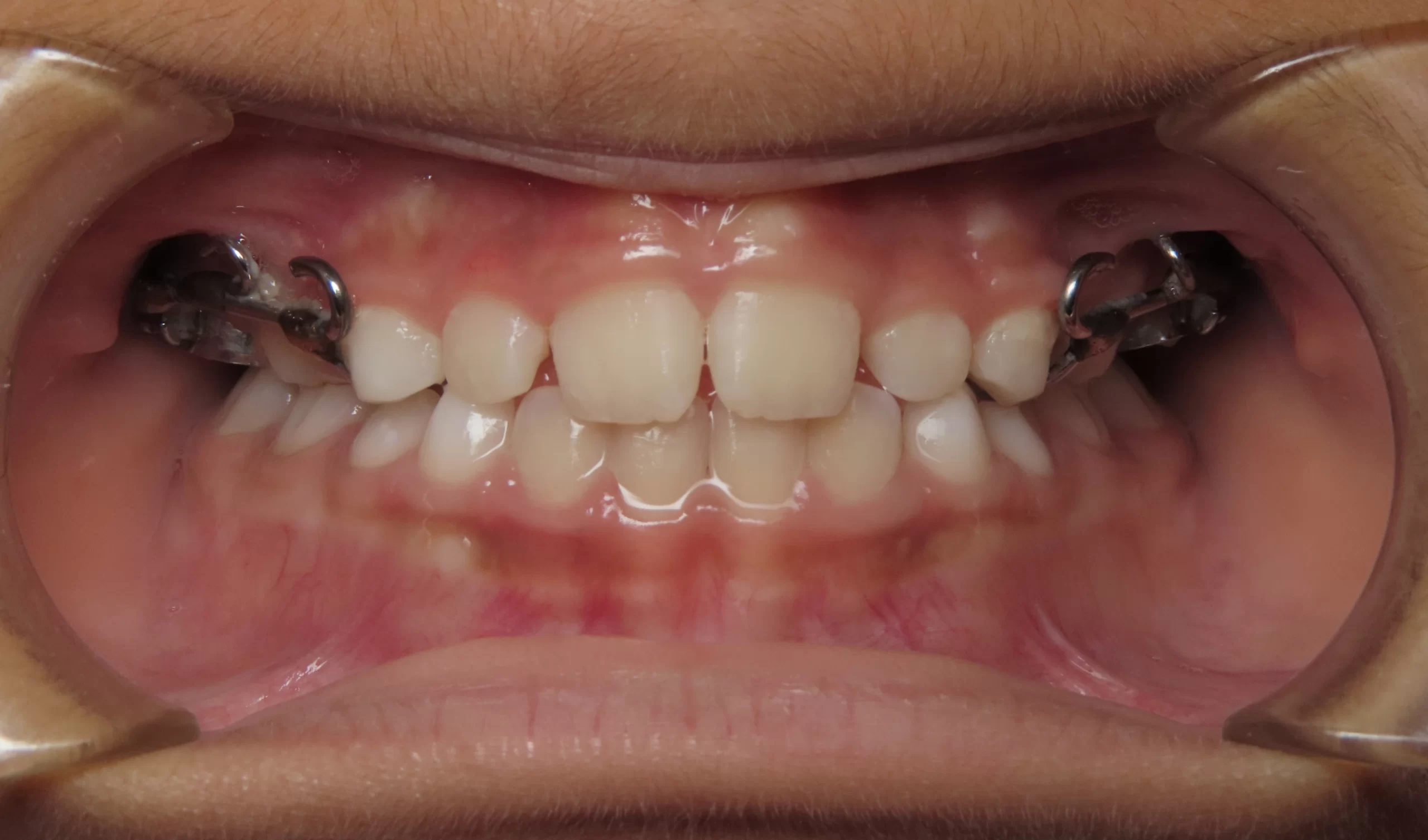
During Treatment
After
Before
During Treatment
After
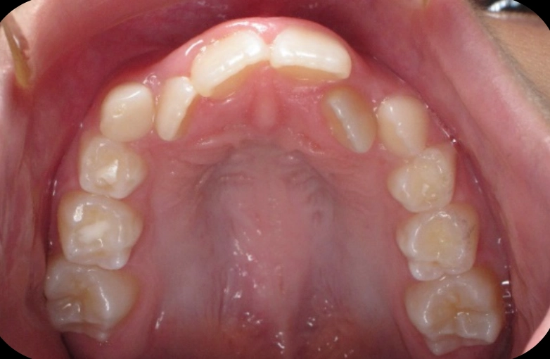
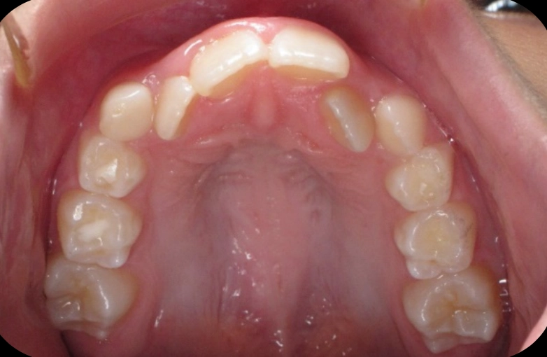
Why are teeth crowded and why is expansion of dental arches recommended?
There are SO MANY benefits to expanding a child’s dental arches at ideally 7-8 years old. Jaws often need to be expanded because they haven’t grown wide enough to accommodate all the permanent teeth, leading to crowding, crooked teeth, and bite problems. Many children today have smaller jaws due to factors like genetics, modern soft diets that don’t stimulate proper jaw development, mouth breathing, and other environmental influences that affect normal growth patterns. Expanding the jaws creates the necessary space for teeth to erupt in proper alignment, improves the bite relationship, and often enhances breathing and airway function by creating more room in the mouth and nasal passages. How many benefits are there to palatal or dental arch expansion? Too many to count! This is one of the best trreatments we can do for a patient that will have lifelong benefits!
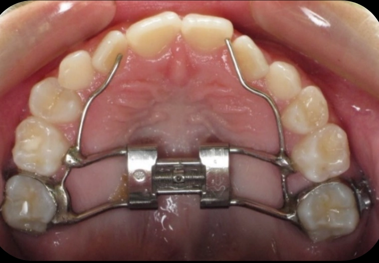
How do expanders work?
Expanders work by applying gentle, controlled pressure to gradually widen the upper jaw (palate) or lower arch, taking advantage of the natural suture lines in growing children’s bones that can be slowly separated to create more space. Expanders can be either fixed or removable, with removable expanders including Invisalign expanders being taken out for eating and cleaning but heavily relying on excellent patient compliance. Fixed expanders are our preferred option because they are arguably less visible than removable ones, work 24/7 without any patient compliance issues, and have no risk of being lost or forgotten, making them the most reliable and predictable treatment method. Usually you can see the expanders start working within one visit!






























