Veneers, Implants, & Other Combined Treatments
How can orthodontics and other treatments work together?
At Buena Vista Orthodontics, we work closely with your restorative dentist, prosthodontist, or oral surgeon to make sure every phase of treatment builds on the last and you get the best possible outcome.
Orthodontics + implants
We often work with patients who need implants as part of their overall treatment plan. Because implants fuse directly to the bone and can’t be moved, teeth need to be in their ideal final positions before the implant is placed. We coordinate with your implant specialist to create precisely the right spacing, so the implant lands exactly where it needs to for both function and aesthetics. In some cases, we can even close the gap completely, eliminating the need for an implant.
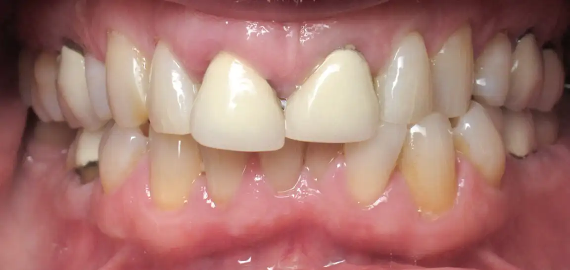
Orthodontics + veneers
Veneers are crafted to fit your final smile, which means ortho should come first. When teeth are properly aligned before veneer placement, your ceramist can design restorations that are beautifully proportioned, require minimal tooth reduction, and are built to last.
Orthodontics + crowns and bridges
We help ensure that gaps are sized correctly and teeth are positioned ideally before crowns or bridges are placed. Existing restorations require extra care during treatment planning, since ceramic and metal respond differently to movement than natural enamel. This is precisely the kind of nuanced, patient-centered planning our team excels at.
Veneers


