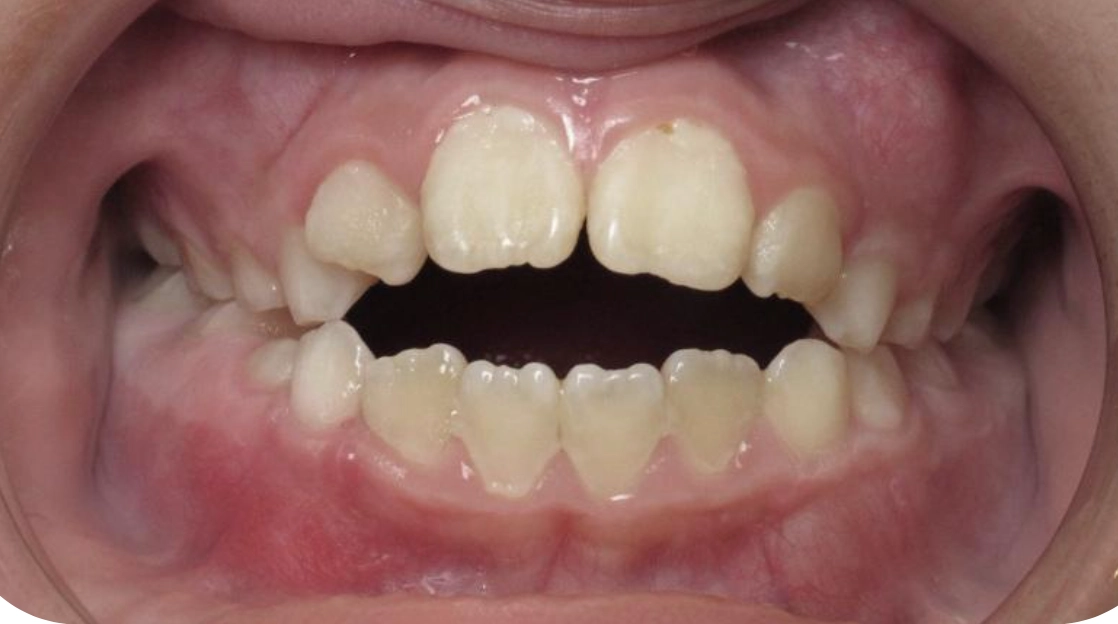
Open Bite Before and After

Before

After
After 1 year of expansion and tongue training. Now they are ready for braces or Invisalign.
At BVO, we understand the importance of correcting your open bite. Treatment improves chewing function and speech clarity by allowing the front teeth to properly contact and cut food, while also preventing excessive wear on the back teeth. Treatment can also enhance facial esthetics by reducing the elongated facial appearance and minimizing gummy smiles. Our goal is always to provide a more beautiful display of your front teeth.
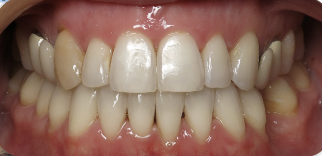
Patient had TMJ problems and an open bite,
corrected with braces and prepared for restorative dentist
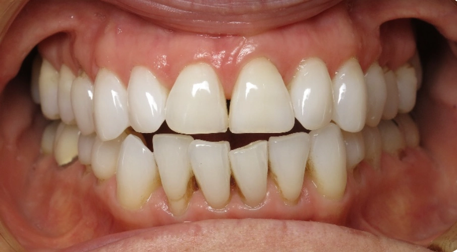
Before
After
Open bite corrceted in an early treatment phase of expansion and tongue thrust control
Before
After
This patient was previously treated by a mail-in aligner company. Treated at Buena Vista Orthodontics for alignment issues, TMJ problems and open bite and prepared for restorative work.
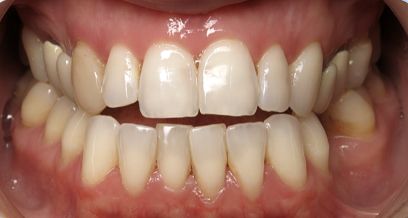
Before
After
Treated with invisalign
Before
After
What is an Open Bite?
An open bite is a malocclusion where the upper and lower teeth don’t touch when the mouth is closed, leaving a visible gap or “opening.”
Types of Open Bite
Anterior open bite – Most common type where front teeth don’t meet, creating a gap you can see when smiling or talking.
Posterior open bite – Back teeth don’t touch while front teeth do meet (less common).
Causes
- Skeletal – Jaw growth patterns where jaws grow more vertically than horizontally
- Dental – Teeth don’t erupt properly into correct positions
- Habits – Thumb sucking, tongue thrusting, or prolonged pacifier use
- Airway issues – Mouth breathing that affects tongue posture
Problems It Causes
- Difficulty biting and chewing food (especially front teeth can’t cut food)
- Speech issues, particularly with certain sounds
- Increased wear on back teeth that do all the chewing work
- Aesthetic concerns with visible gap
How it’s treated
How is an open bite treated? Open bite treatment varies by age and severity, with children often responding well to habit-breaking appliances (like tongue cribs or thumb guards) combined with braces or expanders to guide proper jaw growth and tooth eruption while they’re still developing. For teens and adults, treatment typically involves braces or Invisalign with special elastics to pull the front teeth together, sometimes combined with temporary anchorage devices (TADs) – small titanium screws that provide extra leverage to intrude back teeth or extrude front teeth. Severe skeletal open bites in adults may require orthognathic surgery to reposition the jaws along with orthodontic treatment, though many cases can be successfully corrected with orthodontics alone over 18-30 months, depending on complexity.












