Invisalign Before and After

Before

After
Invisalign Before and After at Buena Vista Orthodontics
Invisalign offers a discreet way to straighten teeth using clear, removable aligners that are nearly invisible, allowing patients to maintain their professional appearance and confidence throughout treatment. The removable design makes it easier to maintain good oral hygiene and enjoy all foods without restrictions, while typically requiring fewer office visits compared to traditional braces.
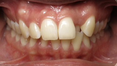
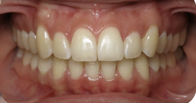
Patient 1
Before
After
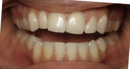
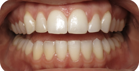
Patient 2
Before
After
Corrected without surgery using Invisalign
Patient 3
Before
After
Patient 4
Before
After
Why should I choose invisalign?
Our doctors are very experienced in invisalign having treated thousands of cases from easy to complex with beautiful results. Invisalign offers a nearly invisible orthodontic treatment option using clear, removable aligners that are far less noticeable than traditional metal braces, making it ideal for adults and teens who want to straighten their teeth discreetly. The removable nature of the aligners allows you to eat all your favorite foods without restrictions and makes maintaining proper oral hygiene much easier since you can brush and floss normally. Treatment is often more comfortable than traditional braces because there are no metal brackets or wires to cause irritation to your cheeks and gums, and the gradual tooth movement typically results in less discomfort. Invisalign also provides predictable results with advanced 3D imaging technology that allows you to see your expected treatment outcome before you even begin, giving you confidence in your investment.
How does invisalign work?
We will give you clear instructions on how to wear your invisalign aligners. invisalign works by using a series of custom-made, clear plastic aligners that gradually shift your teeth into their desired positions. Yes, there are typically multiple trays – usually between 10 to 50 sets depending on the complexity of your case, with each aligner worn for about 10-14 days before moving to the next one in the series. Each aligner is slightly different from the previous one, applying gentle, controlled pressure to specific teeth to move them incrementally toward their final positions. You wear each set of aligners for 20-22 hours per day, removing them only for eating, drinking (except water), brushing, and flossing and you’ll have regular check-ups with us to monitor progress and receive your next sets of trays. We wil explain the different facets of invisalign that will help to attain your specific goals.














