Braces Before and After: Our Results

Before

After
Braces Before and After at Buena Vista Orthodontics
Braces are very effective and sometimes have the advantage over clear aligners for cases involving severe crowding, significant rotations, or major bite corrections, as they provide continuous, precise force that cannot be removed by the patient. Braces also do not require the same level of patient compliance. At BVO, we have esthetic metal braces (soft silver and champagne colored braces) as well as clear braces, braces with color ties and our fast braces (Pitts and Damon brackets) that do not have color ties. We will discuss which system is best for your needs and goals!
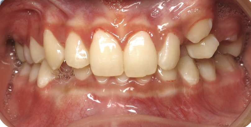
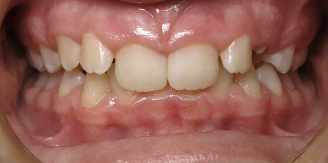
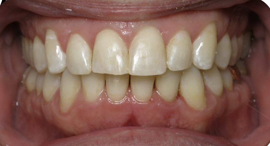
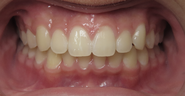
Patient 1
braces
Before
After
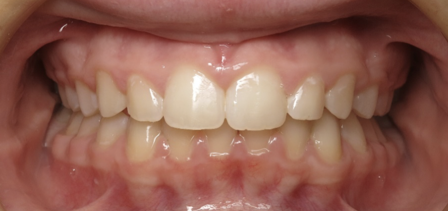
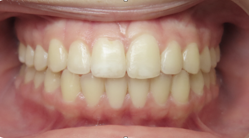
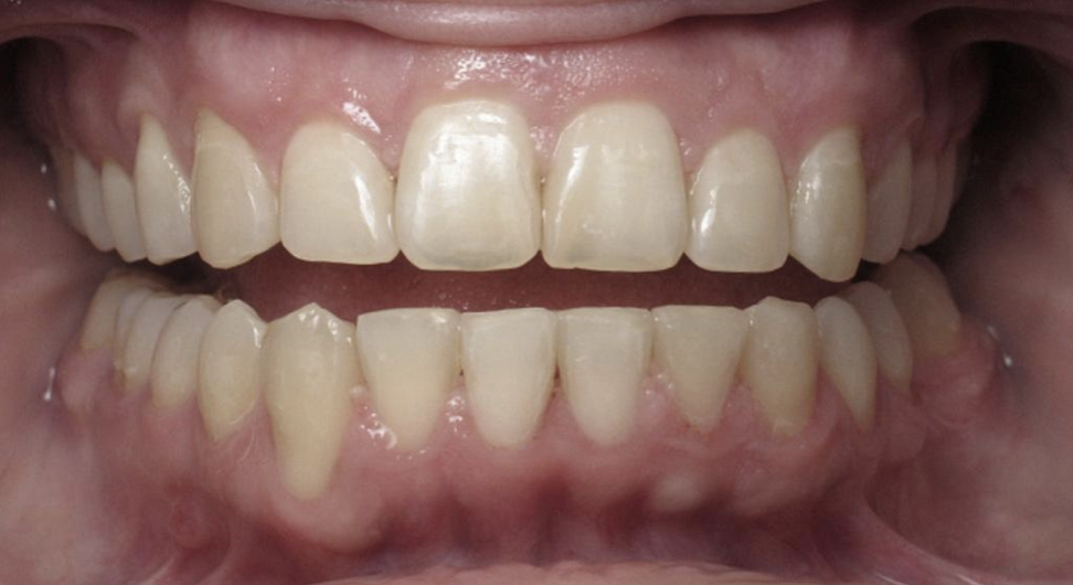
Patient 2
Teen Braces
Before
After
Patient 3
braces
Before
After
Patient 4
Adult braces
Before
After
This patient was treated without extractions!
Patient 5
Braces
Before
After
Patient 6
Braces
Before
After
Patient 7
Braces. Deep bite.
Before
After
Patient 8
Braces
Before
After
Patient 9
Before
After
Advantages of braces
Crowded teeth occur when there isn’t enough space in the jaw for all the teeth to fit properly, causing them to overlap, twist, or shift out of their normal positions. This crowding typically results from genetics (inheriting a small jaw or large teeth), early loss of baby teeth, prolonged habits like thumb sucking or pacifier use, or the natural eruption pattern of permanent teeth. As children develop and their adult teeth emerge, insufficient space forces teeth to compete for room, resulting in the characteristic overlapping and misalignment of dental crowding.
Many adults have always wanted to straighten their crooked teeth, while others notice that their previously straight teeth are becoming crowded over time. This adult crowding is normal as teeth naturally wear down with use and shift throughout life, and gums and bone may gradually recede with age. It’s best to align teeth as early as possible while you have optimal gum and bone support for the most effective treatment and best aesthetic results – ask us whether braces or Invisalign would be the best option for your specific situation!
When to use braces?
Braces are an excellent treatment option for aligning crowded teeth and offer superior control and precision for complex tooth movements, making them more effective for severe misalignments, rotations, and cases requiring significant bite corrections that aligners may not handle as effectively. They provide consistent, 24/7 treatment without relying on patient compliance, eliminating concerns about forgetting to wear aligners or losing expensive trays, which makes them particularly appealing to busy adults and parents of children. Many patients appreciate the “set it and forget it” nature of braces, as they become part of the daily routine without the responsibility of removing, cleaning, and remembering to reinsert aligners throughout the day. We offer various esthetic options including soft silver and champagne-colored metal braces, clear braces, and FAST braces that are superior for complex cases, and we will discuss which braces or aligner option will work best for your specific needs.


































