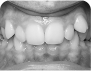
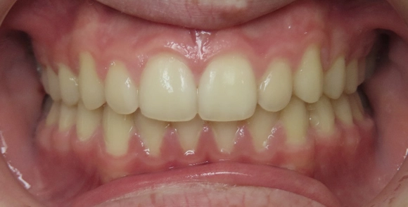
Deep Bite Before and After

Before

After
Braces are very effective and sometimes have the advantage over clear aligners for cases involving severe crowding, significant rotations, or major bite corrections, as they provide continuous, precise force that cannot be removed by the patient. Braces also do not require the same level of patient compliance. At BVO, we have esthetic metal braces (soft silver and champagne colored braces) as well as clear braces, braces with colo,r ties and our fast braces (Pitts and Damon brackets) that do not have color ties. We will discuss which system is best for your needs and goals!
Deep bite treated with braces
Before
After
Deep bite treated with braces
Before
After
Before
After
What is a Deep Bite?
A deep bite (also called overbite) is when the upper front teeth excessively overlap the lower front teeth when biting down, often covering more than half of the lower teeth or even touching the gums. It can be caused by skeletal factors like an overgrown upper jaw or undergrown lower jaw, dental factors such as overerupted upper incisors or undererupted lower incisors, or developmental issues like early loss of baby teeth. Other contributing factors include genetics, teeth grinding, and certain oral habits during childhood development.
How its treated
Deep bites are treated through orthodontics (braces or aligners) that intrude upper front teeth, extrude lower front teeth, or level the bite through posterior tooth movement, while severe skeletal cases may require orthognathic surgery combined with orthodontics. Orthodontic treatment alone is most effective for dental deep bites, typically using techniques like bite blocks, reverse curve wires, or clear aligners with specific attachments to achieve proper tooth positioning. For skeletal deep bites with significant jaw discrepancies, the most effective treatment combines orthognathic surgery to reposition the jaws with comprehensive orthodontics for optimal long-term stability and function.









