Surgery Before and After: Our Results

Before

After
Braces Before and After at Buena Vista Orthodontics
Braces are very effective and sometimes have the advantage over clear aligners for cases involving severe crowding, significant rotations, or major bite corrections, as they provide continuous, precise force that cannot be removed by the patient. Braces also do not require the same level of patient compliance. At BVO, we have esthetic metal braces (soft silver and champagne colored braces) as well as clear braces, braces with color ties and our fast braces (Pitts and Damon brackets) that do not have color ties. We will discuss which system is best for your needs and goals!
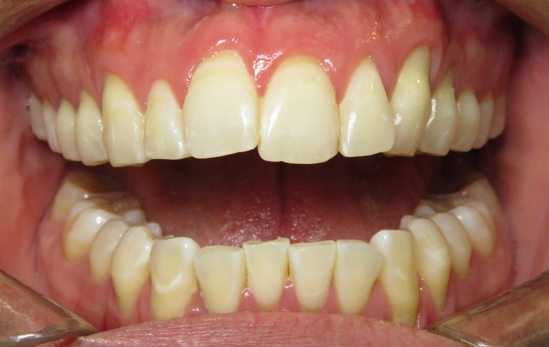
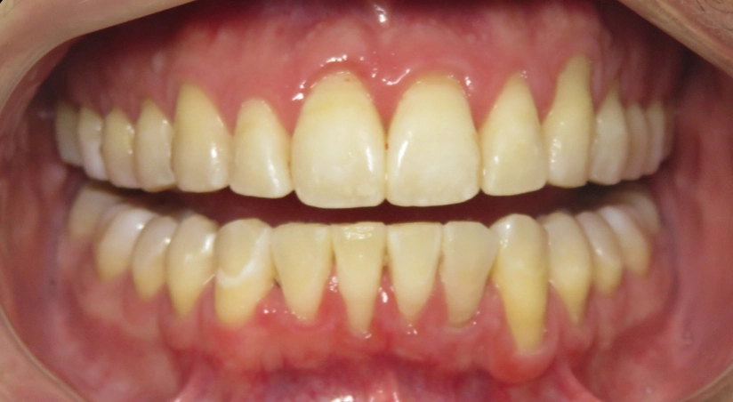
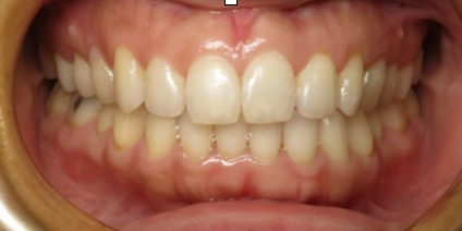
Patient 1
Before
After
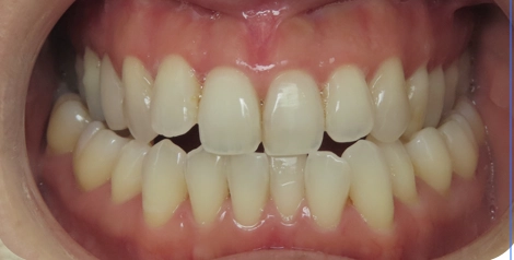
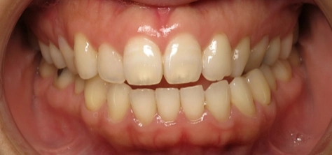
Patient 2
Before
After
Patient 3
Before
After
Patient 4
Before
After
Why does someone need to get surgery?
Orthognathic surgery is combined with orthodontics when patients have skeletal jaw discrepancies that cannot be corrected by moving teeth alone.
When It’s Needed
Orthodontics can move teeth within bone, but when the upper and lower jaws themselves are misaligned in size, shape, or position, surgery is required. Common conditions include severe underbites/overbites, facial asymmetry, open bites, and significant facial disproportion.
Treatment Process
The approach involves three phases: initial orthodontics to align teeth within each jaw, surgical correction of jaw positions, and final orthodontic refinement.
Benefits
Surgical results are often the most dramatic in facial proportion changes in addition to correcting the bite.
What are the most common jaw (orthognathic) surgeries?
Bilateral Sagittal Split Osteotomy (BSSO) – Advances or sets back the lower jaw for underbites or overbites. Most common procedure.
Le Fort I Osteotomy – Repositions the upper jaw up, down, forward, or backward. Often combined with BSSO.
Genioplasty – Reshapes or repositions the chin, frequently done alongside other procedures.
Segmental Osteotomies – Addresses specific sections of the jaw for localized problems.
Patient Satisfaction
Research consistently shows high patient satisfaction rates (85-95%) with orthognathic surgery. Patients typically report significant improvements in:
- Function – Better chewing, breathing, and speech
- Aesthetics – Enhanced facial balance and profile
- Self-confidence – Improved social interactions and quality of life
- Pain relief – Reduced TMJ symptoms and headaches
Common Patient Concerns
Initial apprehension about swelling, recovery time (6-12 weeks), and temporary numbness. However, most patients feel the benefits far outweigh these temporary challenges.
Long-term Outcomes
Studies show sustained satisfaction years post-surgery, with patients often stating they wish they had done it sooner. The combination of functional improvements and enhanced facial aesthetics typically leads to lasting positive life changes.
The key to satisfaction is proper patient selection, realistic expectations, and experienced surgical teams.


















