Smile Esthetics Before and After
At BVO, we understand the importance of putting your best smile forward. Through extensive studies in smile esthetics, we’ve learned that straight teeth alone don’t create the most beautiful smiles. Our approach involves not only straightening teeth but also positioning them optimally within your lip frame to achieve ideal tooth display, proper gum exposure, and a harmonious smile arc. We are committed to creating exceptional smiles that enhance your natural beauty and give you the confidence to smile freely.
Expansion of teeth with expanders and phase two Braces
Before
After
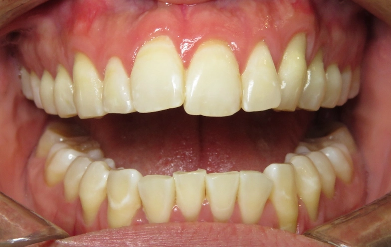
surgery, crowding,gummy smile, invisalign
Before
After
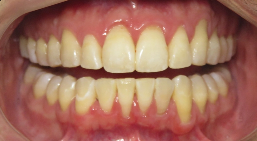
improved bite with Invisalign
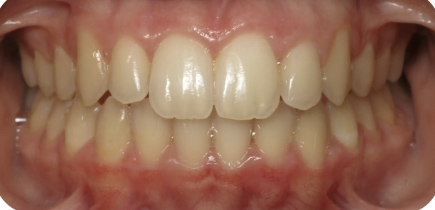
maintaining her beautiful smile arc
Before
After
Treatment with Specialized Braces
Before
After
What Are Smile Esthetics?
An excellent smile arc in smile esthetics consists of several key components that work together to create a harmonious and attractive appearance. The smile arc itself refers to the curved line formed by the edges of the upper teeth, which should ideally follow the natural curve of the lower lip for optimal beauty and youthfulness. Key components include proper tooth proportions (with central incisors being the most prominent and teeth gradually decreasing in size toward the back), appropriate gum display (showing about 1-3mm of healthy pink gums), symmetrical tooth alignment where the midline of the upper teeth aligns with the facial midline, and proper tooth color and translucency that appears natural and bright. The overall smile should show adequate tooth display when smiling naturally, with the upper teeth being the primary focus while the lower teeth provide subtle support to the overall esthetic composition.
How it’s treated
The smile arc is attained through a comprehensive approach that begins with careful planning and analysis of your facial features, tooth proportions, and gum levels to design the ideal smile for your unique face. Treatment typically involves orthodontic correction using braces or sometimes Invisalign to properly align and position the teeth into the optimal curved arrangement that follows the natural lip line. Additional refinements may include tooth reshaping to perfect proportions and contours, cosmetic dental work such as bonding or veneers to enhance tooth appearance, and laser gum treatment to optimize gum levels and create the ideal frame for your smile, which we provide at our office. This coordinated treatment approach ensures that all elements work together harmoniously to create a beautiful, natural-looking smile arc that enhances your overall facial esthetics.



















