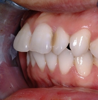
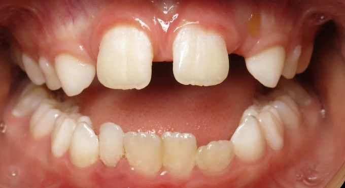
Protrusion / Flaring Before and After

Before

After
Dental flaring refers to the outward tilting or angling of teeth, where they lean away from their normal upright position toward the lips or cheeks. Protrusion occurs when teeth extend forward beyond their ideal position, creating an overjet where the upper teeth stick out significantly past the lower teeth. Both conditions can result from factors like thumb sucking, tongue thrusting, genetics, or orthodontic issues, and they often affect the front teeth most noticeably. These alignment problems can impact bite function, speech, facial aesthetics, and may increase the risk of dental trauma or difficulty with oral hygiene.
Before
After
What causes flaring and protrusion of teeth?
Flaring and protrusion of teeth can be caused by several factors: oral habits like thumb sucking, finger sucking, or prolonged pacifier use that push teeth forward and outward, tongue thrusting where the tongue pushes against the front teeth during swallowing or at rest, and mouth breathing that can alter jaw development and tooth positioning. Missing back teeth can cause front teeth to drift forward to compensate for lost chewing function, while genetics naturally predispose some people to protruded or flared teeth through inherited jaw size and tooth positioning patterns. Gum disease can weaken the supporting structures allowing teeth to shift forward, and certain developmental conditions or injuries can also contribute to abnormal tooth positioning over time.
How it’s treated
