What Sets Us Apart?
Results You Can See, Experience You Can Trust!
Dr. Yamada, a master orthodontist with over 25 years experience, and her team of Orthodontic professionals are dedicated to creating healthy bites and beautiful smiles. Buena Vista Orthodontics utilizes the most advanced technology to treat any type of patient at any age.
Top Invisalign®
provider
Discover a treatment that is so discreet, no one will even notice. Discover the Invisalign® difference at Buena Vista Orthodontics. We are recognized internationally as Diamond Invisalign® providers, which puts us in the top 1% of Invisalign® providers in the world. Using these virtually invisible aligners, we can straighten your teeth and give you a fabulous smile in less time than traditional metal braces.
The most advanced braces available.
Pitts Brackets™ are the next generation of braces—designed for smoother, more efficient tooth movement and a more comfortable experience. Unlike traditional braces, they use advanced technology for quicker treatment times and fewer office visits. At Buena Vista Orthodontics, we combine expert care with cutting-edge tools like Pitts Brackets™ to give you a confident, lasting smile.
Holistic Orthodontics
At our practice, we believe a beautiful smile is about more than straight teeth. Instead, we prioritize health, balance, and long-term wellness. A holistic approach to orthodontics looks beyond simply moving teeth and focuses on the underlying causes of misalignment, including airway health, jaw development, and oral habits. Our treatments are designed to work in harmony with the body’s natural biology, prioritizing gentle, precise techniques that support both beauty and wellness. We combine this philosophy with advanced technology and decades of clinical expertise to create personalized treatment plans for every patient. Whether through early intervention, growth guidance, or modern orthodontic solutions, our goal is to help you achieve not only a confident smile, but optimal health and function that lasts a lifetime.
Dr. Yamada, an expert in empowering your smile.
Dr. Merilynn Yamada founded Buena Vista Orthodontics in 1990 and has been repeatedly voted Burbank’s Best Orthodontist. A certified specialist, she graduated from UCSF’s Department of Orthodontics and UCLA’s School of Dentistry with scholarships and distinction. She joined Omicron Kappa Upsilon, recognizing the top 11% of her class, and graduated from UCLA Summa Cum Laude and Phi Beta Kappa on the Dean’s Honor Roll. Renowned for her diagnostic skills, treatment outcomes, and great rapport with patients, she also brings a sense of humor to her practice.
Ortho for Every Smile
At Buena Vista Orthodontics, we know every smile is unique. That’s why we offer personalized care from a friendly, experienced team committed to creating a treatment plan designed specific to you.

Kids
It’s recommended that children see an orthodontist at age seven to guide jaw growth and set up a healthy smile.

Teens
We know teens value a beautiful smile. Our orthodontic treatments are tailored for their confidence and comfort.

Adults
Orthodontics isn’t just for kids—adults can also achieve a confident, beautiful smile at any age.
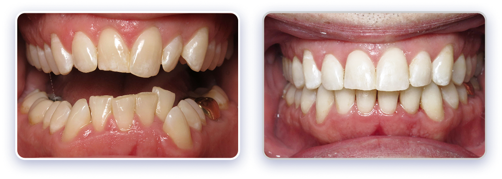
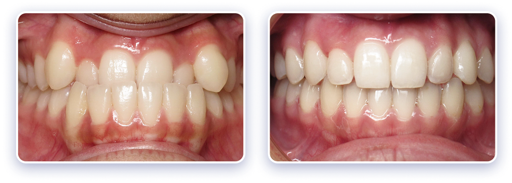
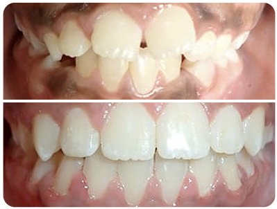
See the transformation
Before & After
Top tech in the industry
Discover a treatment that is so discreet, no one will even notice. Discover the Invisalign® difference at Buena Vista Orthodontics. We are recognized internationally as Diamond Invisalign® providers, which puts us in the top 1% of Invisalign® providers in the world. Using these virtually invisible aligners, we can straighten your teeth and give you a fabulous smile in less time than traditional metal braces.
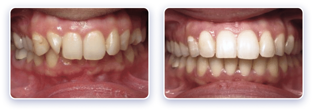
See our
beautiful results
Invisalign® Treatment









