TMJ Before and After: Our Results
TMJ Before and After at Buena Vista Orthodontics
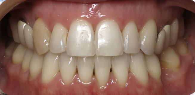
Orthodontic treatment can help TMJ problems by correcting bite and teeth misalignments that force the jaw joints to work in unnatural positions, reducing strain on the temporomandibular joints and surrounding muscles. Properly aligned teeth allow the jaw to close in a more balanced position, which can decrease muscle tension and joint compression often associated with TMJ disorders. While orthodontics isn’t a cure for all TMJ issues, establishing a stable, functional bite sets the foundation for healing. Some patients experience reduced symptoms including jaw pain, joint noises, headaches, and muscle fatigue by allowing the entire jaw system to function more harmoniously. Additional treatments such as physical therapy, bite splint therapy, habit modification and other TMJ treatment modalities. The following patients got significant relief of their TMJ symptoms just from aligning their teeth.
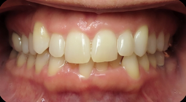
Before
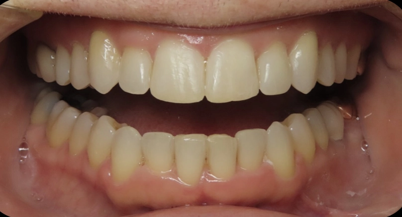
After
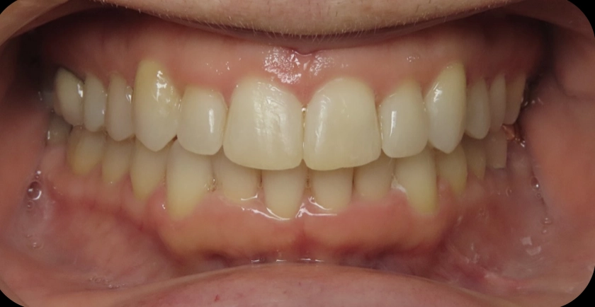
Before
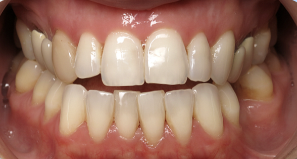
After
What is TMJ?
TMJ stands for temporomandibular joint, which is the hinge joint that connects your jaw to your skull on both sides of your face. Common TMJ problems include jaw pain, clicking or popping sounds when opening or closing the mouth, difficulty chewing, lockjaw (where the jaw gets stuck open or closed), muscle aches or tension around the face, head and neck, headaches, and earaches. These issues can result from teeth grinding, jaw clenching, arthritis, injury, stress, and teeth and bite being out of alignment. Orthodontics could significantly help with the latter giving the jaws a better foundation to be able to potentially improve the symptoms above and to be able to function more optimally.
How are TMJ problems treated?
A TMJ evaluation is essential to determine the nature of the problem which could have various causes. It starts with an evaluation of your health and TMJ history followed by a thorough examination.
Conservative Treatment Approaches may be recommended at first:
- Rest and avoid excessive jaw movements like wide yawning or gum chewing
- Apply ice or heat to the affected area
- Eat soft foods
- Take over-the-counter pain relievers and anti-inflammatory medications as approved by your physician
- Practice stress management techniques
- Perform any recommended targeted jaw exercises
Further exploration may include:
- 3D TMJ radiography
- Study models or other diagnostic records
Treatment Options could include:
- Custom-fitted mouthguards or orthotic splints may help with harmful habits teeth grinding and jaw clenching particularly at night, and finding the most stable bite relationship for your jaw
- Physical therapy or specific jaw treatments by specialists
- Orthodontic alignment and bite correction to provide better support for the TMJs
- In rare cases, surgical intervention may be optimal.
Though symptom relief cannot be guaranteed, we are here to help you understand your condition, risks and the best treatments.











