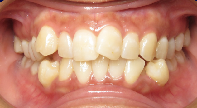
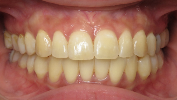
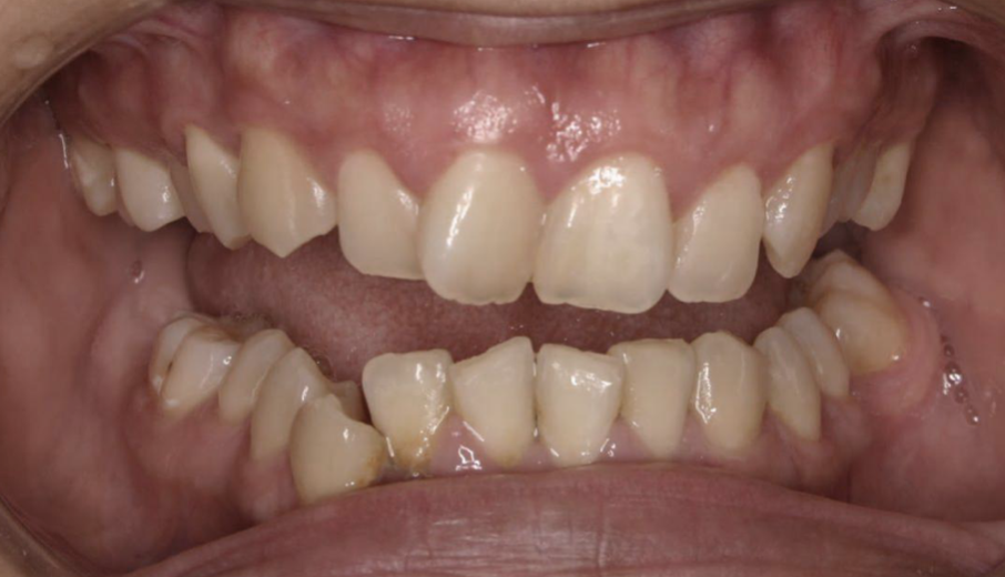
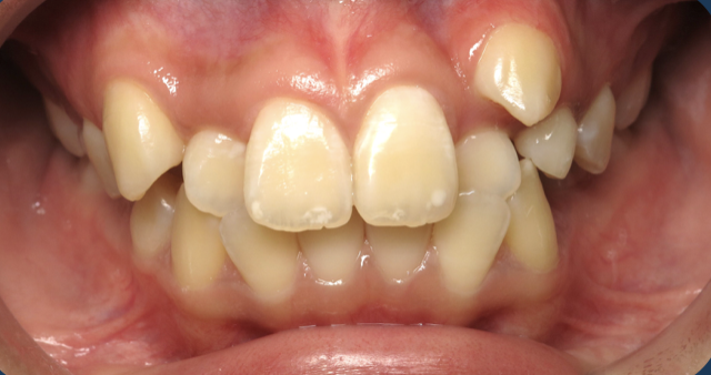
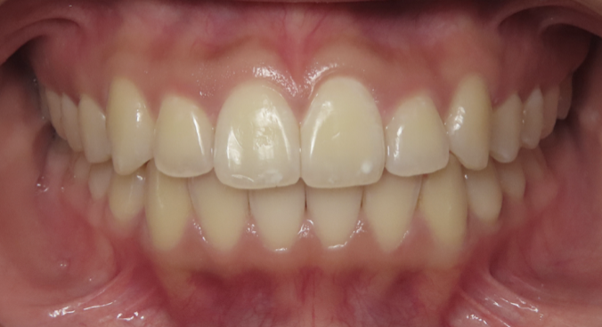
Crowded Teeth Before and After: Our Results

Before

After
Crowded teeth can cause lifelong problems including difficulty chewing, ,poor oral hygiene leading to decay and bone loss, and confidence issues from an undesirable appearance. At Buena Vista Orthodontics in Burbank, we believe everyone deserves a beautiful smile they can proudly display. If you’re dealing with crowded teeth and want to see what orthodontic treatment can achieve, browse our gallery below to view real patient transformation examples.
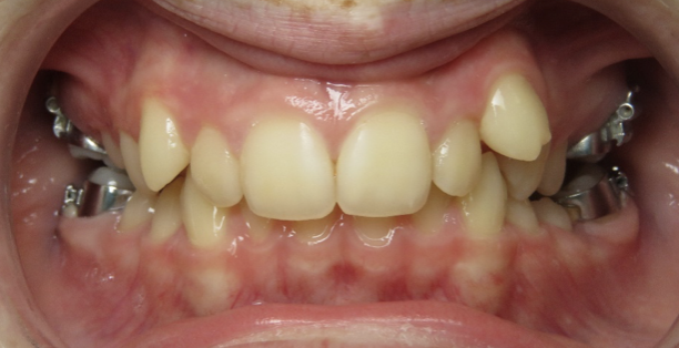
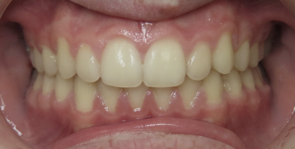
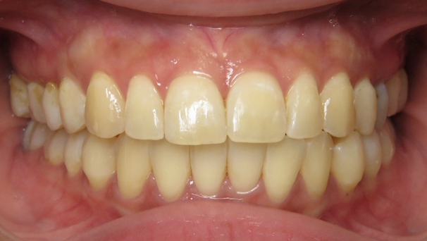
Treatment with Braces
Before
After
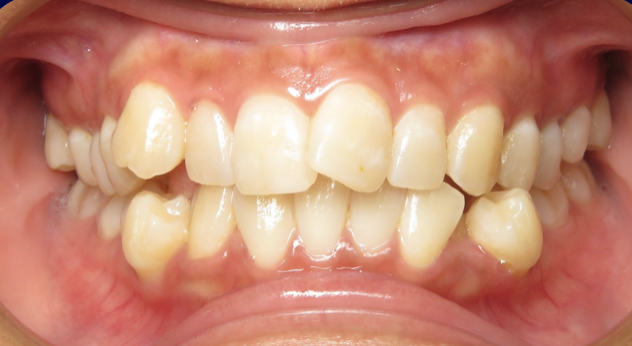
Treatment with Braces
Before
After
Deep Bite Treated with Braces
Before
After
Treatment with Braces
Before
After
What Are Crowded Teeth?
Dental crowding is primarily caused by a mismatch between the size of your teeth and the available space in your jaw, often due to genetics that determine both tooth size and jaw dimensions.
Environmental factors like early loss of baby teeth, prolonged thumb sucking, or mouth breathing can also contribute by disrupting normal jaw development and tooth eruption patterns. Additionally, wisdom teeth eruption, teeth grinding, and age-related changes can cause previously straight teeth to shift and become crowded over time.
How it is treated
Dental crowding treatment typically begins with orthodontic evaluation to determine the best approach based on severity and age. Mild to moderate crowding can often be treated with braces or clear aligners, sometimes combined with palatal expansion to widen narrow jaws or minor tooth reshaping (IPR) to create small amounts of space. Moderate crowding often could be treated with braces or invisalign. Severe crowding may require special fast and friction free braces to avoid tooth extractions, or in rare cases, removing select teeth will give the best result. We will always explore nonextraction treatment options first to preserve all your teeth.















